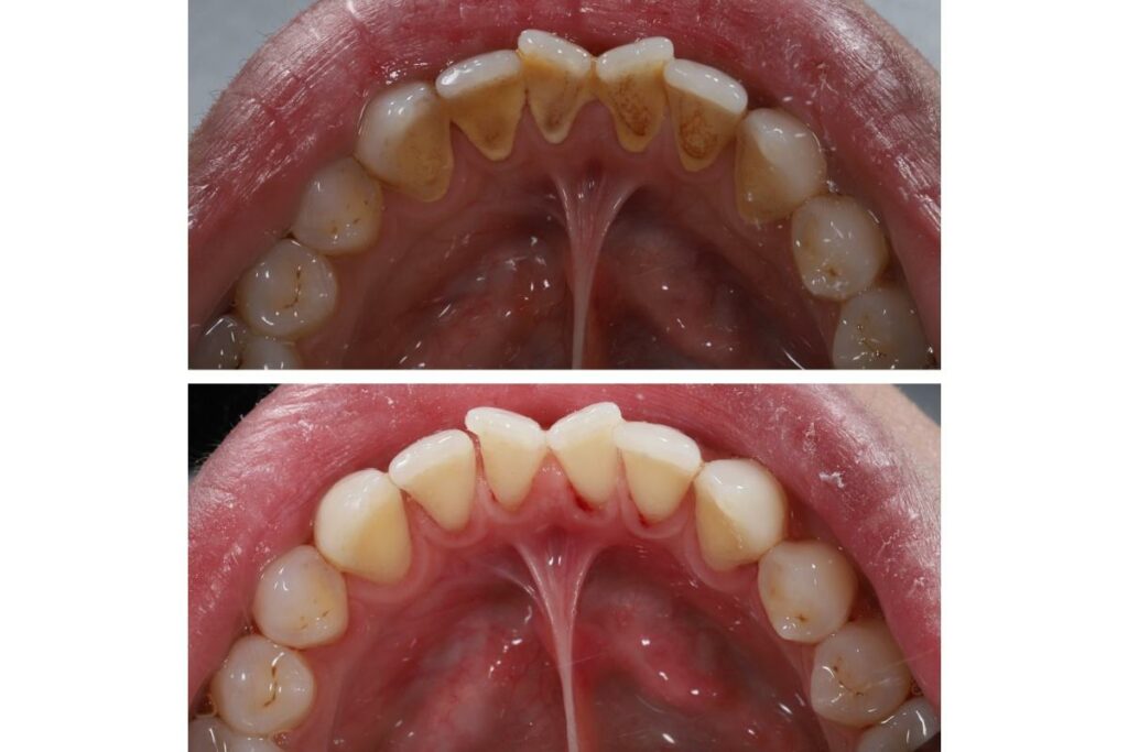
Dental scaling is the part of your routine dental cleaning that focuses on the pockets between the teeth and gums. We carefully remove plaque, tartar, and leftover debris accumulated since your last visit using specialized tools and precision. You might feel slight discomfort during this process, but it’s a vital step during a routine cleaning. […]
What Is “Scaling” at the Dentist?
